유방 클리닉
    - 
					
리앤아이 유방센터의 특징

- 
					
1 대학 병원급의 유방 초음파 및 유방 촬영술 기계
리앤아이 유방센터에서는 고객분들의 정확하고 신속한 진단을 위해서 현재 대학 병원에서 사용하고 있는 장비들을 보유하고 있습니다. 
2 원스톱 진료
원하시면 진찰에서부터 유방 촬영, 유방 초음파 검사, 조직 검사까지 모든 진료가 당일에 이루어지므로 고객 여러분의 소중한 시간을 절약해 드릴 수 있습니다.
3 대학병원과의 연계진료
조직 검사로 유방암으로 확진된 경우에는 대학 병원과 긴밀한 협력 하에 신속히 치료 받으실 수 있도록 도와 드리고 있습니다.
4 유방 촬영 기사의 친절한 도움
리앤아이 유방센터에서는 고객 여러분이 편안한 마음으로 진료 받으실 수 있도록 경험많은 촬영 기사가 도와드리고 있습니다.

- 
					
5 디지털 시스템 병원
아날로그식인 필름과 차트를 사용하지 않고 획기적으로 고해상도의 컴퓨터화 기기 및 안정된 디지털 시스템을 도입하여 보다 정확하고 신속한 진료가 이루어 집니다. 
 - 
					
유방 검사
유방에 대한 기본적인 검사 방법에는 유방 초음파와 유방 촬영술의 두 가지 방법이 있습니다.
유방 촬영술
유방촬영술은 유방암 검진의 가장 기본이 되는 검사법입니다.
외국의 데이터를 보면 무증상 환자에게 시행하는 정기적인 유방촬영술은 유방암으로 인한 사망률을 30%가량 감소시키는 것으로 나타나고 있으며 한국 유방암 학회에서도 40세 이후의 여성은 1~2년 간격으로 정기적인 유방 촬영술을 시행할 것을 권고하고 있습니다.
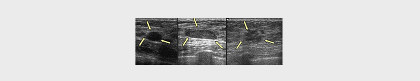
					유방 초음파

- 
						
유방 초음파 검사를 하는 경우
1 멍울(=혹)이 만져질 때
2 유방 촬영술에서 이상 소견이 보일 때
3 치밀 유방일 경우의 보조검사
저희 리앤아이 유방센터에서는 국내 유수 대학병원에서 사용하는 것과 동종의 장비를 사용하여 진단의 정확도를 높이고 있습니다. 
유방 촬영술 VS 유방 초음파
진료를 보다보면 흔히들 이 두 가지 검사 중 어느 것이 더 좋은 검사인지를 물어보시는 경우가 많은데 이 두 검사는 서로 상호 보완적인 면을 지니고 있으므로 어느 한쪽이 우월하다고 보기는 힘듭니다.
유방 초음파의 장점
1 검사 시에 환자분이 느끼시는 불편감이 없습니다.
2 유방에 있는 혹(=종양 또는 결절)을 발견하고 그 성상을 예측하는 것이 유방 촬영술보다 정확합니다.
					
- 
						
유방 촬영술의 장점
유방암 중 관상피내암이라고 하는 종류는 초기에 혹(=종양 또는 결절)없이 석회화 소견만을 보일 수 있는데 원칙적으로 이는 유방 촬영술에서만 발견이 가능합니다.
따라서 완전한 검사를 위해서는 유방 초음파와 유방 촬영술을 병행해서 시행하는 것이 좋습니다. 
 - 
					
유방 조직검사
유방 촬영술과 초음파 검사로 멍울이 확인되면 다음 단계로는 그 멍울이 양성인지 악성인지를 가려내야 합니다.
멍울의 대부분은 다행히 암이 아닙니다.
따라서 멍울의 진단은 암이 아니라는 것을 확인하는 과정이라고 말할 수 있습니다.
멍울은 암에 대한 위험도에 따라 다음의 세 가지 조치를 취합니다.

- 
						
정기 검진
소견으로 틀림없이 안전하다고 판단되는 경우입니다.
단순 물혹, 양성 석회화, 임파절 등이 여기에 해당됩니다.
병변의 존재와 상관없이 연령에 맞는 정기 검진만 하시면 걱정하지 않으셔도 됩니다.추적 관찰
초음파 소견 상 악성의 위험성이 거의 없어 보이는 경우 취하는 조치입니다.
안전하다고 생각되지만 만일을 대비하여 보통 6개월 후 재검사를 하여 멍울의 모양과 크기가 변화가 있는지를 관찰합니다. 
조직 검사
약간은 미심쩍은 면이 있어 6개월을 기다리기엔 부담스러운 경우입니다.
섬유선종, 섬유낭성변성, 유두종, 엽상종 등 유방 멍울의 대부분이 확진 대상이며, 이중 약 5% 정도는 암으로 진단되기도 합니다.
확진을 위해서는 보통 세침 흡인 세포검사 또는 중심부 바늘 조직 검사(=코어 생검술)을 시행하며, 광범위한 조직이 필요한 경우 맘모톰 시술을 하기도 합니다.
- 
						
1 세침 흡인 세포검사
가장 가는 바늘을 사용하기 때문에 조직 검사 중 가장 간편하다는 장점이 있지만 상대적으로 조직의 채취량이가장 적기 때문에 실제 암이라도 암으로 진단되지 않을 가능성이 대략 5~10% 가량 되는 단점이 있습니다.
따라서 조직 검사 결과가 초음파 소견과 다를 경우에는 추가 검사가 필요할 수 있습니다. 
2 중심부 바늘 조직 검사(=코어 생검술)
					중심부 바늘 조직 검사는 세침 흡인 세포 검사 시 사용하는 바늘보다 더 굵은 바늘을 사용하여 조직을 얻어내는 방법으로 세침 흡인 세포 검사에 비해 그 정확도가 더 높습니다.
따라서 요즘에는 초음파 유도하 중심부 바늘 조직 검사가 유방 조직 검사의 기준으로 여겨지고 있습니다.시술 방법
A 피부 소독->국소 마취->초음파 유도하에 병변에 특수 바늘 삽입-> 3~4회 반복하여 조직 샘플 채취-> 병리 전문의의 현미경 관찰로 암세포 유무 판단->1주일 후 진단 확정
B 시간은 10분 정도 소요되며, 국소 마취 후 시술합니다.
C 통증은 유방 촬영보다 덜한 정도로 심한 편이 아닙니다. 편안하게 진료 받으십시오.리앤아이 유방 센터만의 노하우
중심부 바늘 조직 검사를 할 때는 약간의 피부절개를 하는 것이 일반적이지만 저희 리앤아이 유방 센터에서는 풍부한 임상 경험을 바탕으로 피부절개를 하지 않고 검사를 하기 때문에 시술 후 흉터가 전혀 남지 않는 장점이 있습니다.
3 맘모톰을 이용한 조직 검사
4 절제 생검(절제 수술을 통한 조직 검사)
					절제 생검은 혹이 있는 부위를 모두 떼어 내어 치료 겸 조직 검사를 시행하는 방법입니다.
절재 생검은 많은 양의 조직을 얻을 수 있으므로 진단이 정확한 장점이 있는 반면에 아무래도 흉터가 남을 수 밖에 없고 회복시간이 긴 단점이 있습니다.
따라서 최근에는 가급적 중심부 바늘 조직 검사나 맘모톰을 이용한 조직 검사 방법을 사용하고 있으며 이런 방법들을 사용할 수 없을 경우에만 선택적으로 절제 생검을 시행하고 있습니다.
저희 유방 센터에서는 이러한 경우에도 최대한 미용적 효과를 얻을 수 있도록 피부 절개선을 결정하고 있습니다.유방암으로 확진된 경우
조직 검사로 유방암으로 확진된 경우에는 대학 병원과 긴밀한 협력 하에 신속히 치료 받으실 수 있도록 도와 드리고 있습니다.
 - 
					
흔한 유방 증상들
멍울
멍울은 환자가 유방 클리닉을 찾는 대표적인 증상이며 대개 땅콩 정도로 단단하게 만져지는데 멍울이 만져지면 환자들은 우선적으로 유방암을 생각합니다. 그러나 유방멍울의 90%는 유방암이 아닙니다.
그러므로 진찰과 조직 검사를 통해서 멍울의 정확한 진단을 받고, 암의 공포에서 벗어나는 것이 중요합니다.1 섬유 선종
섬유선종은 젊은 여성에서 특히 잘 생기는 흔한 유방 질환입니다.
섬유 선종은 대개 지켜보아도 문제가 없지만 간혹 초음파 상 섬유선종과 구별이 안 되는 유방암이 있고, 섬유 선종 내에 비정상 세포가 동반해서 자라는 경우가 있기 때문에 경우에 따라서는 조직 검사를 하는 것이 안전할 수 있습니다.2 관내 유두종
유두에서 맑은 분비물이나, 핏빛 분비물이 나오면서 유두 주위로 멍울이 확인되는 경우, 가장 먼저 생각해야 하는 것이 유두종입니다.
유두종 자체는 양성이지만, 10~30%에서 악성이 내재되어 있는 경우가 있어서 유두종으로 진단된 경우에는 수술적 제거가 원칙이며 최근에는 맘모톰을 사용하면 거의 흉터없이 제거가 가능합니다.3 섬유낭성 질환
크기가 작을 경우 관찰만 시행하면 되나 통증이 있거나 멍울이 촉지될 정도로 크기가 큰 경우, 낭종내 증식이 의심되는 환자 등에서는 조직 검사가 필요합니다.
유두 분비물
우연히 젖꼭지에서 분비물이 나오거나 브래지어에 분비물이 묻어 있으면 많은 여성들은 혹시 유방암의 증세가 아닐까 걱정을 하게 됩니다.
유두 분비물은 생리적인 원인과 병적인 원인 모두에 의해 발생할 수 있습니다.
- 
						유방에 병적인 원인이 없는 경우에도 얼마든지  분비물은 나올 수 있는데 정상적인 여성의 경우에도 젖쪽지를 두 손으로 힘껏 짜보면 누구나 조금씩은 분비물이 나올 수 있으며, 이외에도 임신 중인 경우, 피임약을 복용한 경우, 갱년기 치료를 위해 여성 호르몬을 복용한 경우,  진정제나 수면제를 복용한 경우 등에서도 분비물이 나올 수 있습니다.
하지만 유두 분비물 중 일부는 유관내 유두종, 유관 확장증, 섬유낭포성질환, 관상피내암 등의 병적인 상황과 연관이 있습니다.
따라서 정확한 진단을 위해 반드시 의사의 진찰이 필요합니다. 
유방통
1 주기적 통증
생리 주기 중 후반기(배란이 된 이후)에 유방이 아프거나 가볍게 붓는 경우입니다.
보통 생리 직전 2~3일간 경험하지만 심한 경우에는 4주간 내내 고생하기도 합니다.2 비주기적 통증
생리 주기와는 아무런 관련이 없는 유방통증으로 통증을 호소하는 환자의 약 1/4이 여기에 해당합니다. 주기적 유방통이 주로 30대 중반의 여성에게 잘 나타난다면, 비주기적 유방통들은 그보다는 나이가 많은 40대 중반의 여성에게 비교적 흔하게 찾아옵니다.
정상적으로도 많은 여성들이 생리 전에 약간의 유방통을 느끼기 때문에 어느 정도 이상의 통증을 병적인 것이라고 할지는 애매할 때가 많습니다. 실제로 통증을 호소하는 환자의 90%는 증세가 가볍고 일시적이며, 유방 통증이 절대로 유방암에 의해 생긴 증세가 아니라는 의사의 확인을 받은 후에는 대부분 저절로 증세가 없어집니다.
나머지 10% 정도의 환자만이 통증이 1주일 이상 지속되거나 생활에 불편을 느끼는데, 이럴 때만 약물 치료의 대상이 됩니다.
하지만 유방암으로 진단된 환자의 3%에서는 유방통증 만으로 발견되는 경우가 있으므로 유방통을 간과할 수는 없습니다.
따라서 유방 검진을 받고 있지 않았다면 유방 통증이 생겼을 때 검진을 받아 확인하는 것이 안전합니다.유선염과 유방 농양

- 
						유선염과 유방 농양은 여성들이 흔히 접하는 질환으로 대부분 치료가 잘 되나, 수유기와 비수유기에 발생한 염증의 임상적 특성과 치료 방법이 다르므로 관심이 필요합니다. 
수유기의 유방염은 흔히 젖몸살이라고 하는 것으로 수유 여성의 약 2~3%가 경험하는 일로 대개 수유를 시작한 수주 안에 유두에 생긴 상처(아마도 아기에 의하여 생긴)로 병균이 침범하여 발생한다고 생각되고 심한 통증과 유방의 부종 등을 호소하나 대부분 항생제 등의 고식적인 방법으로 쉽게 치료됩니다.
그러나 유방염이 생겼다고 수유를 중단할 필요는 없고 오히려 수유를 적극 권장하고, 염증 부위에 따뜻한 마사지로 막힌 유관이 풀리도록 한 후, 젖을 잘 짜내면 치료가 잘 됩니다.
농양이 생긴 경우는 고름을 빼는 수술을 같이 받아야 합니다.
비수유기 유방염은 유방 질환의 약 5~6%를 차지하는 흔한 병으로 유관에 세균이 번식하거나 유관 내용물이 유방 조직으로 역류하여 염증이 생깁니다.
유두 밑쪽으로 잘 생기며 고름을 잘 형성합니다.
덩어리를 형성하는 경우도 많고 암과 감별하기 어려운 경우도 있으며 재발을 잘하기 때문에 광범위한 유방 조직의 절제를 필요로 하는 경우가 많고 유두 함몰과 동반된 경우는 유두 복원술을 같이 시행합니다. 
 
								
부인과 센터